Mukozal Kaposi sarkomu, CD34
Serrated adenom Traditional Serrated Adenom
Koryokarsinom
Endometrial aktinomiçes Endometrial aktinomiçes enfeksiyonu. RIA kullanımı sonrası, sülfür granülleri.
Tofüs
trombus Venolitisis öncesi top şekilli organize trombüsler
Oral skuamöz hücreli karsinom Oral skuamöz hücreli karsinom, keratinize. Likenoid displazi zemininde gelişmiş.
Cribriform-morular thyroid carcinoma Tiroidin nadir tümörü. Belirsiz papiller yapılar, moruller ve tiroglobulin yokluğu. Beta katanin ilişkili.
Tiroglobulin, Cribriform-morular thyroid carcinoma Tiroglobulin negatifliği olan tiroid tümörü
Cribriform-morular thyroid carcinoma, ikinci odak ile birlikte Çok sayıda odak içeren tümörde iki ayrı tümör odağı
Beta-Catenin pozitifliği, Cribriform-morular thyroid carcinoma Beta-Catenin nükleer ve sitoplazmik pozitiflik.
ER pozitifliği, Cribriform-morular thyroid carcinoma ER hormon reseptöründe yaygın pozitiflik. Tiroid için beklenmeyen özellik.
Morul yapılarındaCD10 pozitifliği, Cribriform-morular thyroid carcinoma Cribriform-morular thyroid carcinoma morul yapıkarını boyayan markerlardan biri.
Pancreas - Solid pseudopapillary neoplasm Solid pseudopapillary epithelial neoplasm of the Pancreas **Note:** Tiles have not been generated/uploaded yet. Add slide.dzi and slide_files manually for the viewer to work.
Piyano tuşlu böbrek tümörü Clear cell papillary renal cell tumor. Nuclei are piano key appearance **Note:** Tiles are generated locally and included in the repository. Manually commit and push to GitHub to make the viewer work.
Anevrizmal kemik kisti
Hidradenoma papilliferum 1 Uzaktan görünüm Tarama için özel teşekkür: Dr. Ceren ALDEMİR
Hidradenoma papilliferum 2 Yakından histoloji. Dr Ceren ALDEMİR'e teşekkürler
Microcystic adnexal carcinoma **Note:** Tiles are generated locally and included in the repository. Manually commit and push to GitHub to make the viewer work.
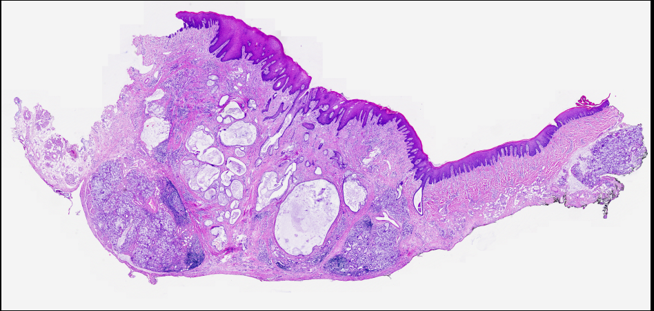
Laryngeal Pyogenic Granuloma Although these lesions are not typically yellow on gross examination, this case showed an unusual yellowish macroscopic appearance, which initially led clinicians to consider amyloid in the differential diagnosis. **Note:** Tiles are generated locally and included in the repository. Manually commit and push to GitHub to make the viewer work.
Mukoepidermoid karsinom
Hematom benzeri metastaz Akciğerde çoğu kanama ve hematom alanları nedeniyle gizlenen bir metastaz.
Diffuse sclerosing papillary thyroid carcinoma DSV-PTC typically presents with diffuse thyroid involvement affecting both lobes, marked stromal fibrosis, squamous metaplasia, numerous psammoma bodies, lymphocytic infiltration
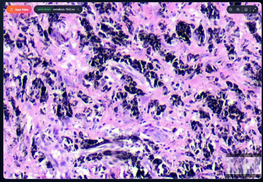
Metalosis Metal pigmenti içeren makrofajlar. Yoğun siyah renkli. Işığı kırmayan oldukça ince partiküller. Metal sanki eğelenmiş ve çöpçü makrofajlar onları yutmuş.
Appendiks divertiküliti **Note:** Tiles are generated locally and included in the repository. Manually commit and push to GitHub to make the viewer work.
Lung hamartoma Akciğer hamartomu **Note:** Tiles are generated locally and included in the repository. Manually commit and push to GitHub to make the viewer work.
Amiloid tiroid Tiroid amiloidozu
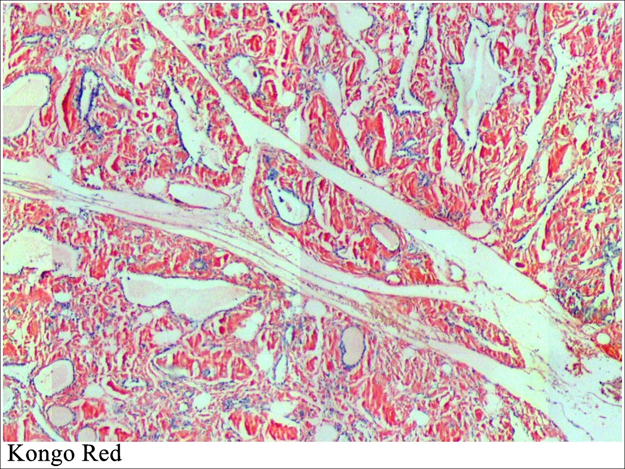
Tiroid amiloidoz Kongo Red Amiloid guatr Kongo Red boyası
Medüller tiroid karsinomu Medüller tiroid karsinomu, HE
Medüller tiroid karsinomu Medüller tiroid karsinomu, Kalsitonin pozitifliği
Medüller tiroid karsinomu Medüller tiroid karsinomu, Trioglobulin
Medüller tiroid karsinomu Sinaptofizin Medüller tiroid karsinomu Sinaptofizin
Kaposi Mukozal Kaposi sarkomu
Kaposi ERG Mukozal Kaposi sarkomu, ERG
Kaposi CD34 Mukozal Kaposi sarkomu, CD34